Hispeed NX/I機器偽影故障排除

機器型號:HiSpeed NX/i

軟件版本:HiSpeed NX/I Series 7.03

主機型號:O2

機器故障:圖像有偽影,無法做校正; DAS報錯

檢修判斷:GANTRY電源中一個12V電源電壓不穩造成圖像偽影嚴重

解決方案:更換12V電源

檢修過程:

1.     到現場咨詢醫生,醫生反應:早上做幾個病人后,圖像出現偽影,之后就無法曝光了。同時報DAS數據錯誤。

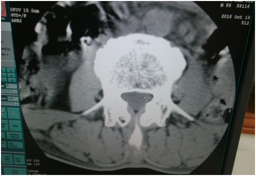
這是當天做完這個圖像后,機器出現無法曝光。

2.     我用頭部條件掃水膜,可以曝光。但出來的圖像有環狀偽影,需要做校正。但是雙排的水膜在老區,只能第二天再做校正。第二天做病人,做頭部的都還行,但是做腰椎圖像出來條紋狀偽影。

3.     準備做校正,改善圖像質量。在做到空氣校正的時候,滑環通訊報錯。

用95%酒精和干凈的紗布擦拭滑環?;h清潔后再進入校正界面,做完整校正。水膜校正完畢后,做體膜校正。體膜校正,曝光后調節位置的數據出不來。等了大概10分鐘后,還是不行。

關機重啟后,準備再做一次校正。但是在空氣校正的時候,系統無法曝光。再次曝光,還是停止。

懷疑通道板有問題。打開通道板蓋板除塵,CIF板插拔下。之后做空氣校正時還是無法曝光。最后檢測到DAS電源中一個12V電源電壓不穩(12V電壓檢測出6V電壓,過會再試又變成12V電壓)。

更換電源后,做校正。條紋狀偽影沒有了。

但是環狀偽影還是有??紤]到可能之前的校正文件有問題,做restore,導入之前好的校正文件。重新做校正,之后掃水膜圖像有明顯改善。

1130219820.jpg

高壓油箱維修


◆快速:維修周期一個工作日

◆可靠:修復完畢后,上機反復測試

◆專業:出廠時出具維修檢測報告


聯系電話:400-668-2958


我知道了
聯絡與溝通
  • 聯系電話
    400-668-2958
  • 地址
    廣州市花都區迎賓大道179號4棟1118房
返回頂部